Example 1: Arithmetic Operations on Two Images
Introduction
We are using the Arithmetic2 module to apply basic scalar functions on two images. The module provides two inputs for images and one output image for the result.
Steps to Do
Develop Your Network
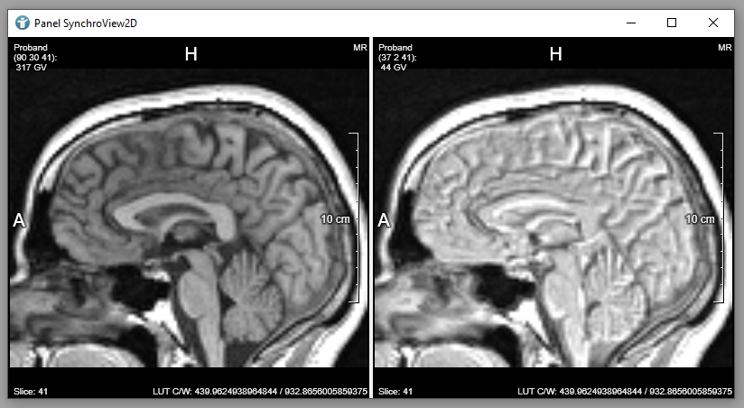
Add two LocalImage modules to your workspace for the input images. Select $(DemoDataPath)/BrainMultiModal/ProbandT1.dcm and $(DemoDataPath)/BrainMultiModal/ProbandT2.dcm from MeVisLab demo data and add a SynchroView2D to your network.
In the end, add the Arithmetic2 module and connect them as seen below.
Your SynchroView2D shows two images. On the left hand side, you can see the original image from your left LocalImage module. The right image shows the result of the arithmetic operation performed by the Arithmetic2 module on the two input images.
The SynchroView2D module automatically synchronizes the visible slice of both input images; you can see the same slice with and without applied filter.
Arithmetic Operations
Double-click
the
Arithmetic2 module to select different functions to be applied.
The selected function is applied automatically.
Summary
- Arithmetic operations on two images can be applied on images by using
Arithmetic*modules. - The
SynchroView2Dmodule allows to scroll through slices synchronized on two images.






