Contour Segmentation Objects (CSOs) in MeVisLab
Introduction
Structure of CSOs
MeVisLab provides modules to create contours in images. 3D objects that encapsulate these contours are called Contour Segmentation Objects (CSOs).
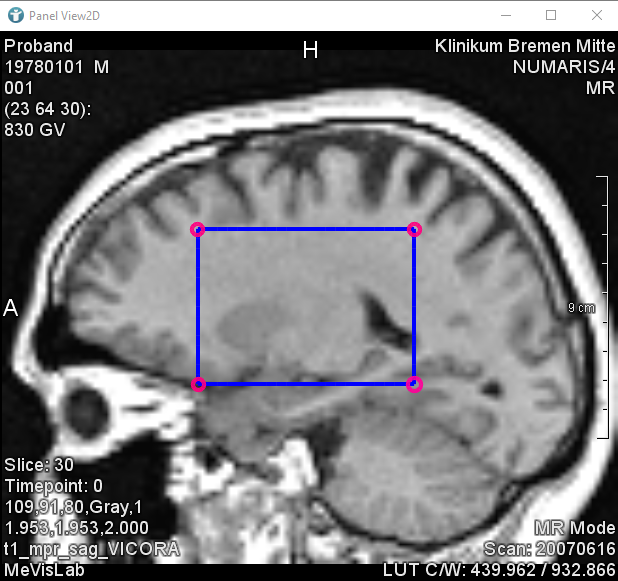
In the next image, you can see a rectangular shaped CSO. The pink circles you can see are called Seed Points.
Seed Points define the shape of the CSO. In the case of a rectangle, you need four Seed Points forming the corners to define the whole rectangle.
The points forming the blue lines are called Path Points.
The Path Points form the connection between the Seed Points whereby contour objects (CSOs) are generated. CSOs are often closed, but do not need to be.
In general, the Seed Points are created interactively using an editor module and the Path Points are generated automatically by interpolation or other algorithms.

CSO Editors
As mentioned, when creating CSOs, you can do this interactively by using an editor.
The following images show editors available in MeVisLab for drawing CSOs:
The SoCSOIsoEditor and SoCSOLiveWireEditor are special, because they are using an algorithm to detect edges themselves.
- The
SoCSOIsoEditorgenerates isocontours interactively. - The
SoCSOLiveWireEditorrenders and semi-interactively generates CSOs based on the LiveWire algorithm.
CSO Lists and CSO Groups
All created CSOs are stored in CSO lists that can be saved and loaded on demand. The lists cannot only store the coordinates of the CSOs, but also additional information in the form of name-value pairs (using specialized modules or Python scripting).
Each SoCSO*Editor requires a SoView2DCSOExtensibleEditor that manages attached CSO editors and renderers and offers an optional default renderer for all types of CSOs. In addition to that, the list of CSOs needs to be stored in a CSOManager.
The appearance of the CSO can be defined by using a SoCSOVisualizationSettings module.
CSOs can also be grouped together. The following image shows two different CSOGroups. Groups can be used to organize CSOs, in this case to distinguish the CSOs of the right and the left lung. Here you can find more information about CSOGroups.















